お知らせ・症例紹介News and Blog
【意図的再植】痛みはないが大きな病変|抜歯を回避し歯を保存した症例
■ 「痛みがない=問題ない」ではありません
「以前は噛むと痛かったが、今は痛くない」
このような状態で来院されることは少なくありません。
しかし実際には、
症状が落ち着いていても内部で病変が進行しているケースがあります。
今回はそのようなケースで、
抜歯を回避するために意図的再植を行った症例をご紹介します。
意図的再植・外科的歯内療法の詳しい説明はこちら
■ 症例概要
-
主訴:以前は噛むと痛かったが現在は痛みなし
-
部位:右上7番
-
診断:根尖性歯周炎(大きな透過像あり)


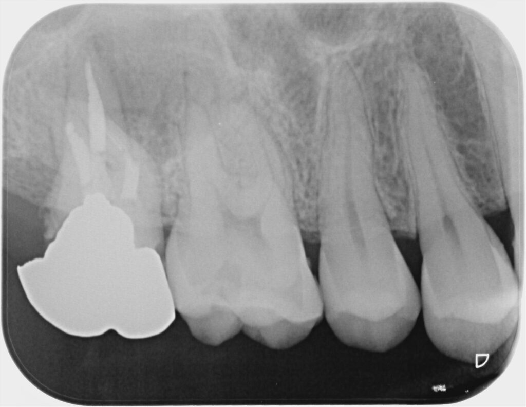
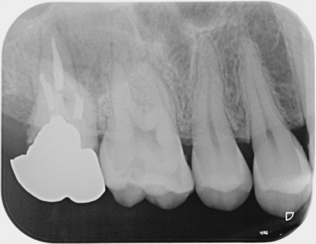
■ 術前の状態
レントゲン・CTでは、
根尖部に上顎洞に達する大きな透過像(病変)を認めました。
現在は痛みがない状態でしたが、
これは「治癒」ではなく、
👉 感染が慢性化し、症状が出にくくなっている状態
と考えられます。
また本症例では、
- 根管の湾曲が約30度と強い
- 遠心に縁下カリエスを認める
- 根尖部に吸収像(構造の破壊)を認める
という状態でした。
特に根尖部に関しては、
本来の解剖学的形態が失われている状態であり、
根管内からのアプローチのみでの改善は難しいと判断されました。
■ 治療方針
通常であれば、
- 再根管治療
- 外科的歯内療法
- 抜歯
といった選択肢が考えられます。
しかし本症例では、
- 強い湾曲によるアプローチ困難
- 根尖部の構造破壊
- 縁下カリエスの存在
これらが複合しているため、
再根管治療単独での予後は不確実と判断しました。
文献的にも、
このような形態が変化した症例では成功率が低下することが報告されています(Gorniら, 2004)。
そのため今回は、
歯を保存するための方法として
👉 意図的再植
を提案し、十分な説明のうえ同意を得て治療を行いました。
詳しく解説
再根管治療の成功率は、すべての歯で同じではなく、歯の状態によって大きく異なります。
Gorniら(2004)は、再根管治療の症例を、根管の形態が保たれている症例と、 根尖の破壊や形態の変化がある症例に分けて検討しています。
その結果、根管の形態が保たれている症例では成功率は約86%であったのに対し、 形態が変化した症例では約48%まで低下すると報告されています。
つまり、再根管治療は単に「やり直せば治る」というものではなく、 根の先の形や内部の構造がどれだけ保たれているかが大きく関わってきます。
本症例では、根尖部に吸収がみられ、根の先の本来の形が失われていました。
このような状態では、根管の内側から器具や材料を使っても、
根尖部を十分に封鎖することが難しくなる場合があります。
そのため本症例では、通常の再根管治療のみでの改善は難しい可能性があると判断し、 意図的再植という方法をご提案しました。
■ 治療内容<意図的再植>
- 口腔内で、修復物の除去、コアビルドアップ
- 歯根膜を損傷しないよう慎重に抜歯
- 口外時間を最小限に管理
- 根尖部の感染組織の除去
- 逆根管充填(MTA使用)
- 速やかに再植
すべてマイクロスコープ下で精密に処置を行っています。

■ 治療のポイント
本症例のポイントは、
- 根管内からは到達困難な病変に直接アプローチできること
- 根尖部の形態を外科的に再構築できること
- 大きな病変と骨吸収を伴っていたため、歯根膜へのダメージを抑えた抜歯が可能と判断したこと
これらの条件がそろっていたことで、
意図的再植という選択が有効であると判断しました。
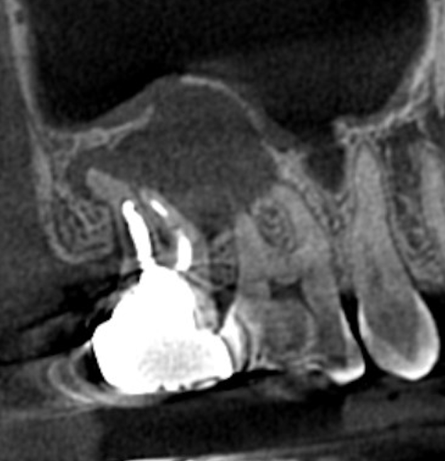
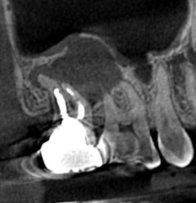
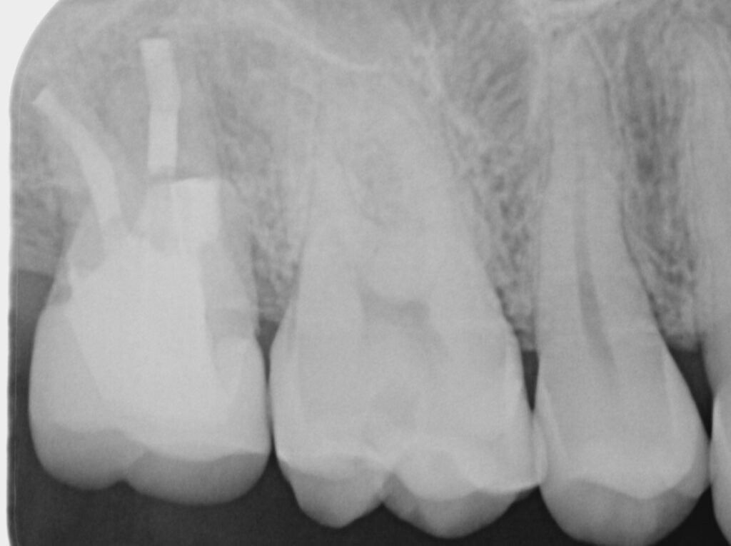
■ 術後経過
術後の経過観察において、
レントゲンおよびCTにて術前と比較を行いました。




その結果、
- 根尖部の透過像は縮小し
- 骨の再生が認められました
また臨床的にも、
- 咬合時の違和感は消失
- 日常生活での不快症状も認められない状態
となり、良好に経過しています。
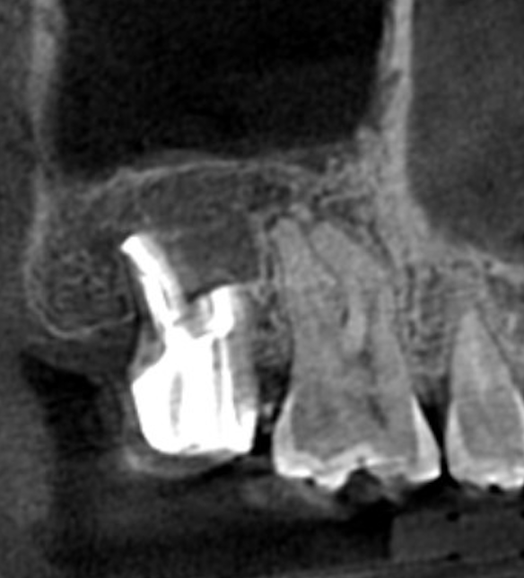
その後も安定した状態が確認できたため、
最終補綴としてセラミッククラウンを装着しました。
現在も問題なく機能しており、
安定した状態を維持しています。


■ 注意事項
本症例は自由診療による治療です。
治療結果には個人差があり、すべての症例で同様の結果が得られるわけではありません。
また、意図的再植には以下のリスクが伴います。
- 再植後の脱落
- 歯根吸収
- 歯と骨が癒着する可能性
- 術後に痛みや腫れが生じることがあります
歯の状態や全身状態によっては適応とならない場合もあります。
十分な診査・診断のうえで治療方法をご提案いたします。
■ 費用
修復物除去 :16,500円(税込)
ファイバーコア:33,000(税込)
意図的再植 :143,000円(税込)
※自由診療となります
※状態により追加処置が必要となる場合があります
■ 最後に
「抜歯」と診断された歯でも、
状態によっては保存できる可能性があります。
ただし、すべての症例に適応できるわけではないため、
まずは精密な診査が重要です。
気になる症状がある方は、お気軽にご相談ください。