お知らせ・症例紹介News and Blog
【症例紹介】3年間治らなかった強い腫れと痛み─精密根管治療で歯を残せたケース
■ 主訴(患者さんのお悩み)
- 「歯の根が腫れていて、とても痛い」
- 「他の歯科医院で2〜3年間治療しているが、治療が終わらない」
当院に救急対応で来院された患者さんです。
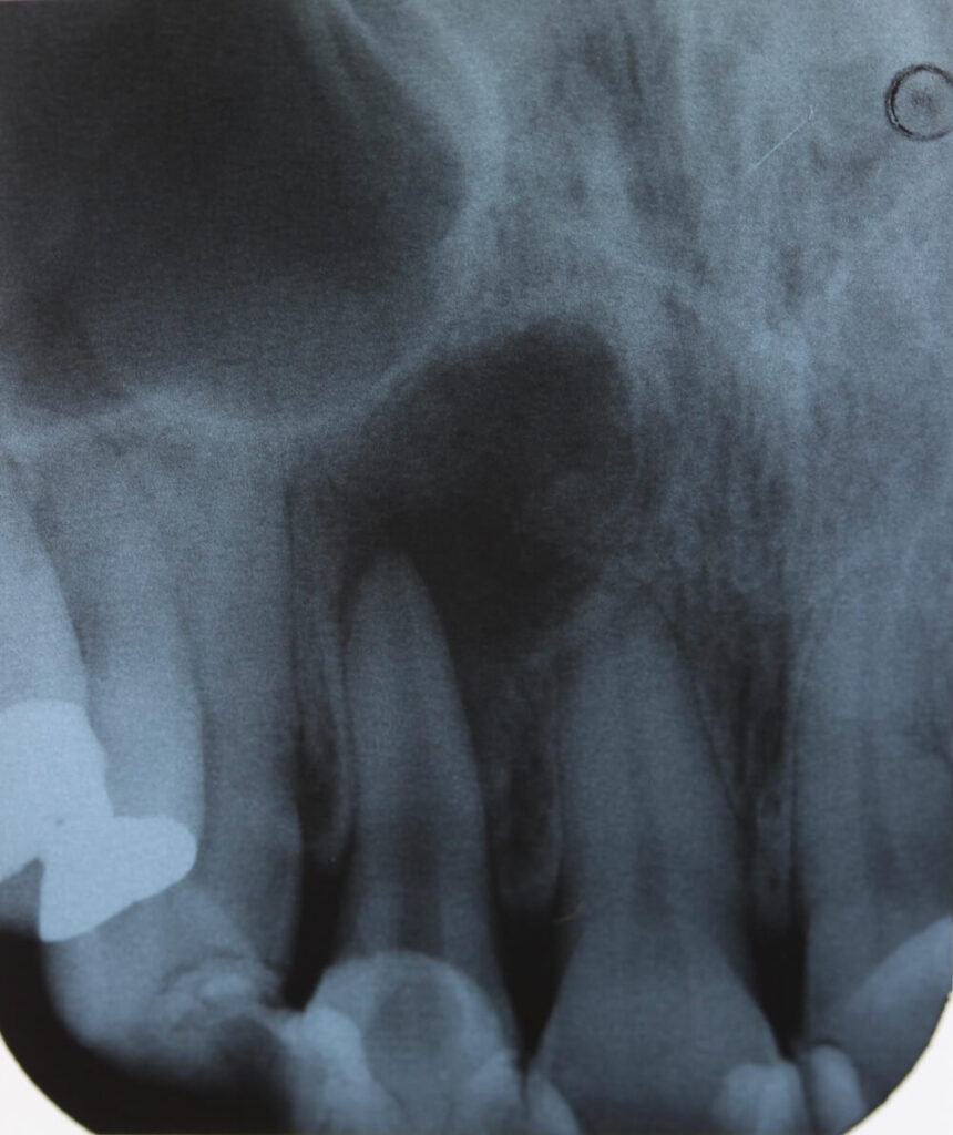
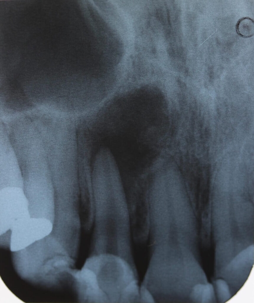
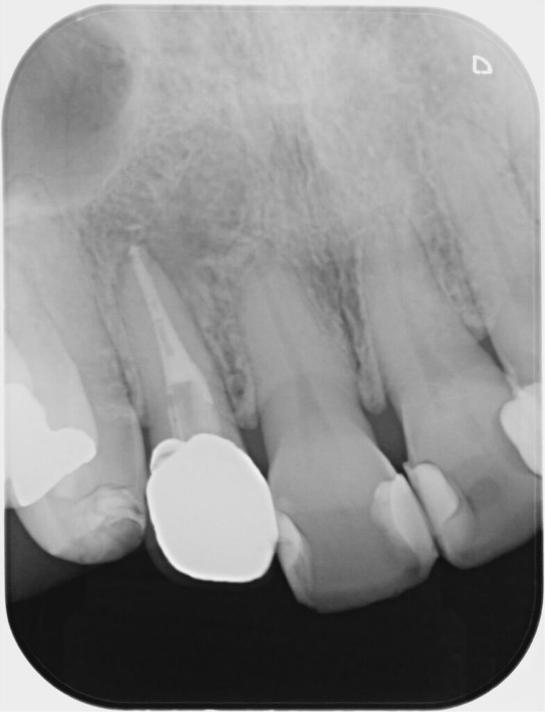
初診時、上あごの裏側(口蓋)が大きく腫れあがり、膿がたまっている状態でした。
レントゲン(デンタルX線)では 根の先に2cm以上の大きな骨吸収 が確認されました。
腫れと痛みを緩和するため切開排膿を行うと、内部から大量の膿が排出されました。

■当院がご提案した治療
根管治療が途中で中断されていたため、まずは以下のステップで治療計画を立てました。
①再根管治療(非外科的歯内療法)
マイクロスコープで感染源を除去し、根の内部を消毒していきます。
②歯根端切除術(外科的歯内療法)
※①で症状改善が認められなかった場合、根の先の形態が正常でない場合
当院の精密根管治療について詳しく知りたい方は、
こちらのページをご覧ください。
👉 精密根管治療(マイクロエンド)について
根の先が壊れている場合、成功率はどう変わる?
通常の根管再治療は約80〜90%が良好に経過すると言われています。
しかし、根先孔が大きく削られてしまったり、根尖の形態が破壊されている場合は、 成功率が約40〜50%程度まで下がるという報告があります。
・Gorni & Gagliani, J Endod 2004:
正常形態 86.8% vs 破壊形態 47%(再治療)
・Hirata-Tsuchiya, Eur Endod J 2024:
ISO≥55拡大で成功率低下
■治療当日の流れ
治療はすべて ラバーダム防湿(お口の細菌が歯の中に入らないようにするゴムのシート)を行った上でスタートしました。
その日のうちに根管(神経のあった場所)の消毒ができたため、
当日中に根管充填(薬を詰める処置) まで完了しました。
根の先の形態は、これまでに何度も治療が繰り返されていた影響で 大きく開いている状態(拡大・変形) でした。
そのため、治癒が得られにくい可能性や、必要に応じて 外科的歯内療法(歯根端切除術)へ移行する可能性がある ことを、事前に患者さんへ丁寧にご説明しました。

その後、症状が落ち着いたため
仮歯で生活していただき、機能面の確認を行いました。

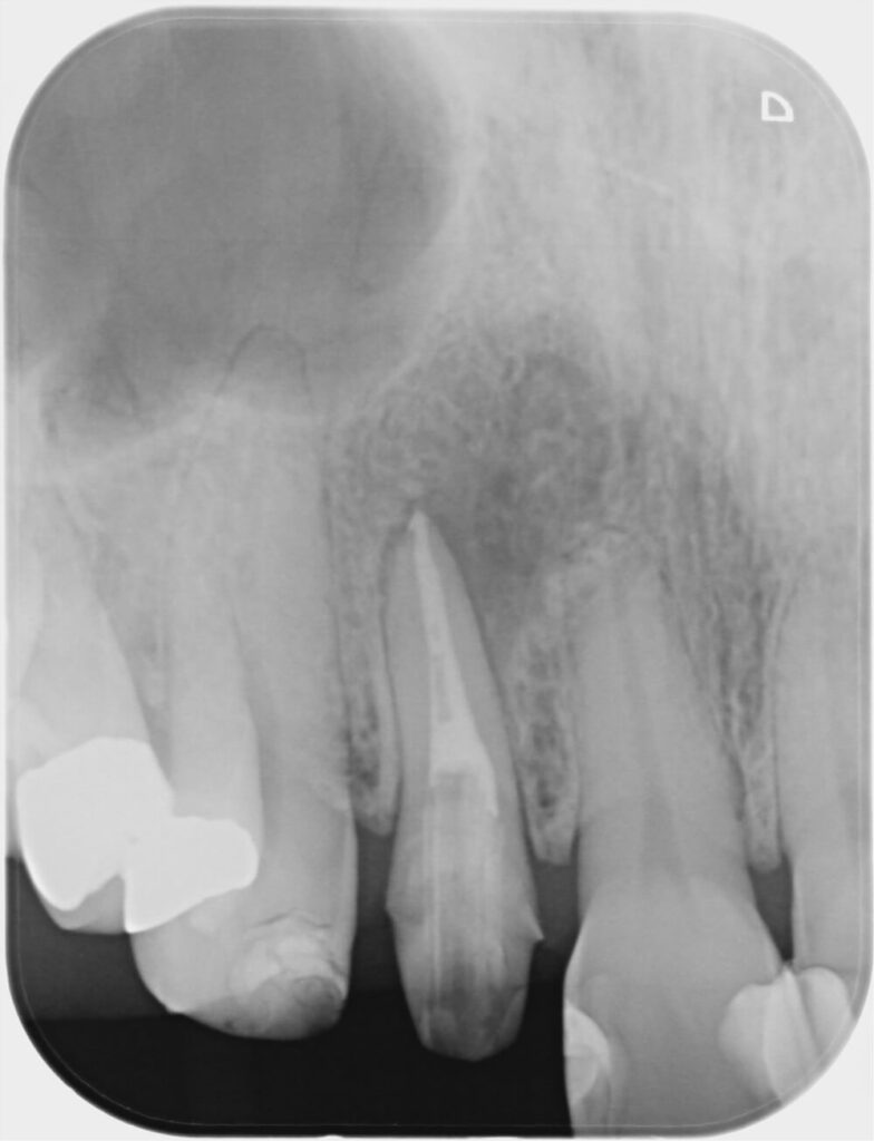
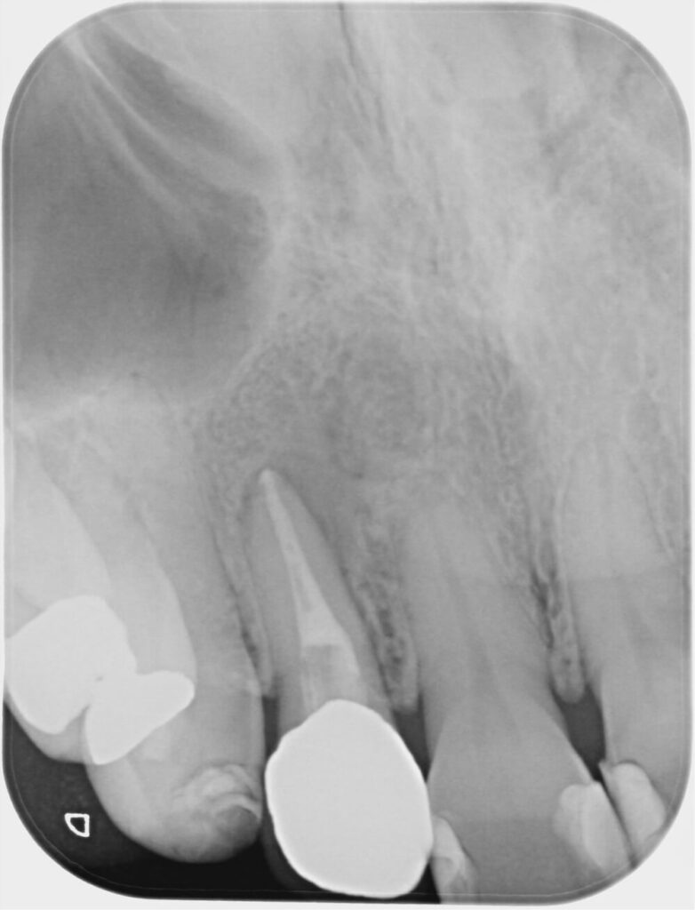
■術前→ 1年6か月後の変化
初診時(左) 1年6か月後(右)


2年後の再評価では、
- 痛みなし
- 腫れなし
- 日常生活でも快適に機能
- レントゲン上で骨の改善確認
と、とても良好な状態でした。

患者さんも 「歯を残せて本当に良かった」 と喜ばれ、
私自身も 外科治療を回避できたことにホッとしました。
※ただし、完全な骨再生には約3年かかると言われているため、引き続き定期的な経過観察が必要です。
【治療に伴うリスク・注意点】
✅痛みや腫れが一時的に強く出る場合があります
✅根の形態や破壊の程度により、外科治療(歯根端切除術)が必要になる場合があります
✅再根管治療でも改善が得られない場合、抜歯となる可能性があります
✅骨の再生には時間がかかり、治癒のスピードには個人差があります
【治療回数について】
本症例では、
- 再根管治療:1回
- ファイバーコア、仮歯:1回
- 経過観察(3〜6か月ごと):数回
という回数で治療を行いました。
症状や根管形態によっては、治療回数が追加になる場合があります。
【費用(自由診療)】
当院の精密根管治療は、すべてマイクロスコープを用いた自由診療です。
- 前歯の精密根管治療:99,000円(税込)
- ファイバーコア:33,000円(税込)
- 精密形成・仮歯:8,800円(税込)
■ 歯の根のトラブルでお悩みの方へ
痛みや腫れ、再発を繰り返している方、
治療が長期化している方は、一度ご相談ください。
当院では顕微鏡を使った精密な根の治療により、
できる限り歯を残す選択肢をご提供しています。
当院で行っている精密根管治療の特徴や流れについては、
こちらのページで詳しくご紹介しています。
👉 精密根管治療|川口歯科医院