お知らせ・症例紹介News and Blog
【症例紹介】抜歯前提の歯でも残せる可能性ー精密根管治療 × 限局矯正を用いた“歯を守る治療”
「根管治療後の歯で最も大切なのは、残っている歯の量である。」
— Dr. Martin Trope(世界的歯内療法専門医)
世界的なエンド医である Trope 先生の研究では、
フェルールが不足した歯は、噛む力が根に集中し、縦に割れて抜歯になるリスクが非常に高いことが示されています。

逆に、
歯ぐきの上に 1〜2mm でも健全な歯質(フェルール)が確保されていると、破折リスクは大きく減少し、歯は長く安定します。
つまり、
「フェルールを確保できるかどうか」が、根管治療後の歯の“運命”を決める要素なのです。
当院では、
・矯正的挺出(歯を少し持ち上げてフェルールを作る治療)
・外科的歯冠長延長
などを組み合わせ、可能な限り “抜歯ではなく、歯を残す治療” を検討しています。
今回は、「抜歯前提」であるフェルール不足の歯を、
精密根管治療 × 限局矯正(矯正的挺出) を組み合わせて保存した症例をご紹介します。
当院の詳しい治療案内はこちら
1.主訴(患者さんの訴え)
・「歯が痛む/噛めない」
・「歯肉が腫れている」
・「できるだけ自分の歯を残したい」
2.初診時の所見



・歯冠部が治療の繰り返しとう蝕によって大きく崩壊(👉治療の繰り返しによるサイクル)
・フェルール(歯ぐきの上の健全歯質)がほぼゼロ
・根尖部に病変/感染の可能性
・このままクラウンを被せても 歯が薄く、破折リスクが極めて高い状態
【専門ポイント】フェルール不足だと何が起こる?(Trope の研究から)
- フェルール 0mm の歯は噛む力が根に集中し、縦破折(保存不能)が急増する。
- フェルールが 1〜2mm あるだけで、破折リスクが大幅に減少し、予後が安定する。
- Trope らの研究では、ポストの種類より「残存歯質量(フェルール)」が歯の寿命を左右すると示されている。
=「歯を残すには、まずフェルールを確保することが必須」
— Dr. Martin Trope(世界的歯内療法専門医)の破折研究をもとに要約
3.治療計画
フェルール不足のまま被せ物をすると破折しやすいため、
以下の2段階で「歯を残す治療」を計画。
① 精密根管治療(感染を取り除き、土台を整える)
- マイクロスコープで感染源を徹底的に除去
- 根管形態の把握と破折線の確認
- 根の中を確実に封鎖し、保存可能な状態へ
② 限局矯正(矯正的挺出)でフェルールを獲得
- 歯を約2mmゆっくり引き上げる
- 歯ぐきの外に健全歯質(フェルール)を出す
- 歯肉の形態を整えて最終補綴の準備を行う
4.治療経過
①根管治療に先立ち、CR(コンポジットレジン)にて隔壁を製作した。

【治療のポイント】CRで隔壁を製作した理由
根管治療に入る前に、まず CR(コンポジットレジン)で隔壁 を作りました。 これは見た目を整えるためではなく、根管を細菌から守り、安全に治療を行うための大切なステップです。
-
ラバーダム防湿を確実に行うため
歯の周囲をしっかり囲うことで、ラバーダムが安定し、 唾液や細菌が根管内に入り込むのを防ぎます。 -
仮の蓋の期間に細菌が侵入しないようにするため
歯の壁が少ないままでは仮蓋だけでは不十分です。隔壁を作ることで、 治療の合間も根管内をできるだけ無菌的な状態に保つことができます。 -
根管治療を正確に行うための「治療の土台」にするため
隔壁によってアクセスが安定し、根管の探索・洗浄・封鎖を より精密に行えるようになります。
簡単に言うと、隔壁は「根管を細菌から守るための防御壁」です。 安全なラバーダム防湿と無菌的処置のために、まずこの工程を行っています。
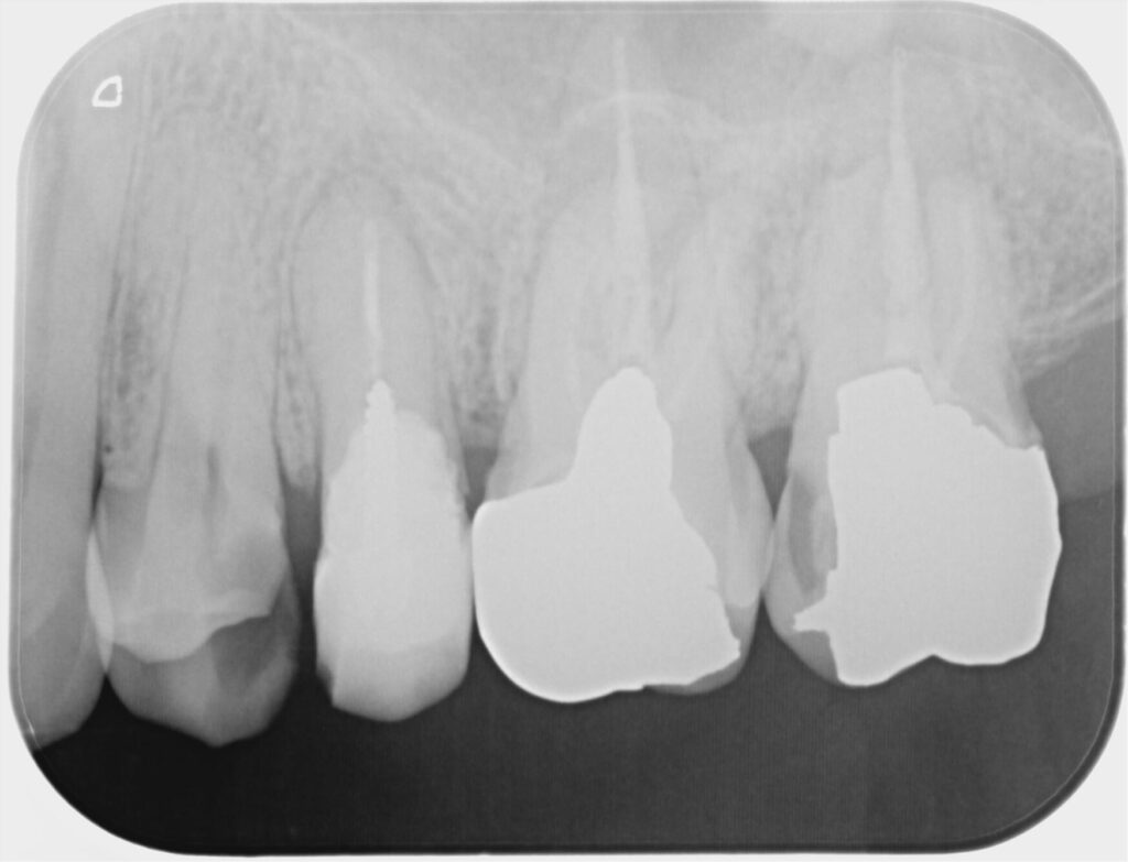
②ラバーダム防湿を行い、根管治療→根管充填まで行った。

③MTM(矯正的挺出)装置を装着し、約5週間経過した。


治療により、
・根管治療で痛み・腫れが消失
・矯正的挺出により新しいフェルール(2mm)を確保
・歯肉が安定し、補綴が可能な状態に
5.精密形成、仮歯装着


矯正装置を除去し、ファイバーコアによる補強と仮歯を製作した。
6.治療結果
・抜歯回避に成功
・痛み・噛みにくさの改善
・フェルールを確保したことで「長期的に歯を残す条件」が整いました
患者さんは「抜歯せずに済んでよかった」、「少ない通院回数で噛めるようになった」と安心された様子でした。
これからもこの歯を長く持たせれるように、慎重に経過を追っていきます。
7.まとめ
治療を何度も繰り返した歯や大きなう蝕があった歯は、歯の大部分を失ってしまいます。
フェルールが不足した歯は、
そのまま被せ物をすると高い確率で割れてしまう ため、抜歯になるケースが多いです。
しかし、
- 精密根管治療
- 限局矯正(矯正的挺出)
を組み合わせることで、
抜歯前提の歯でも“残せる可能性”が広がります。
歯を守る治療は、「見えない基礎治療」がとても重要になります。
繰り返しの治療で弱ってしまった歯でも、
もう一度チャンスをつくれる場合があります。
「できれば抜きたくない」というお気持ちに寄り添いながら、
その歯が持てる限り長く使えるよう、今後も丁寧にサポートしていきます。
【注意事項】
本記事は、実際に当院で行った治療の一例です。
歯の状態や症状、治療の難易度には個人差があり、
同じ治療を行っても全ての方に同じ結果が得られるわけではありません。
最適な治療方法は、精密な診査・診断を行ったうえで個別に判断する必要があります。
治療をご検討の方は、一度ご相談ください。
【治療期間・治療回数・費用】
-
治療期間:5週間
-
治療回数: 3回
治療費(自由診療):
隔壁形成: 11,000円(税込)
精密根管治療(小臼歯):110,000円(税込)
限局矯正(矯正的挺出):55,000円(税込)
ファイバーコア: 33,000円(税込)
精密形成・仮歯: 8,800円(税込)