お知らせ・症例紹介News and Blog
【大牟田/精密根管治療症例】
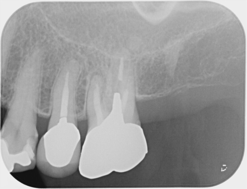
見つからなかったMB2が原因だった上の奥歯
はじめに
「神経の治療をしたはずなのに、また痛くなった」
このようなご相談は少なくありません。
今回は、
上顎第一大臼歯に存在する“MB2”が関係していた症例をご紹介します。
■ 主訴
「歯の奥が疼く。強い痛みではないが、これから痛みが出そうな感じがする。」
■ 初診時の状態
-
既に根管治療済み
-
レントゲンで根尖部に透過像
-
痛み/違和感の持続


CTを撮影すると、
未処置と思われる根管の存在が疑われました。
MB2とは?
上の奥歯には、
神経の通り道が4本あることが多いと報告されています。
そのうち、
MB2(近心頬側第2根管)
は、非常に見つけにくい位置にあります。
肉眼では確認が難しく、
過去の治療で処置されていないこともあります。
なぜそれが問題になるのか
根管治療の目的は、
「歯の内部の細菌を除去すること」
未処置の根管がある場合、
そこが感染源として残る可能性があります。
再発症例の中には、
MB2未処置が原因であるケースが一定数存在します。
(※Cleghorn BMらの研究ではMB2は50%以上存在することが示唆されている)
今回の治療
当院では全ての根管治療を
マイクロスコープ下で行っています。
今回の症例では、
-
マイクロスコープ下で慎重に探索
-
石灰化した象牙質を超音波チップで除去
-
MB2を確認
-
徹底的な洗浄・清掃
を行いました。
感染源と考えられたMB2の清掃を含め、
治療は1回で終了しました。



術後経過
経過観察時、患者様からは
「歯が疼く感じがなくなりました」
とのお言葉をいただきました。
大きな痛みではなくても、
日常的に感じる“違和感”は精神的な負担になります。
その原因が取り除けた可能性があります。

なぜ1回で終了できたのか
根管治療が複数回に分かれる理由は様々です。
今回1回で終了できた理由は、
-
診断が明確だったこと
-
感染源が限定されていたこと
-
マイクロスコープ下で確実に処置できたこと
- 適切な治療時間を確保したこと
が挙げられます。
すべての症例が1回で終わるわけではありません。
しかし、
「原因を正確に見つけられるかどうか」
は、治療回数にも影響します。
精密根管治療を検討されている方へ
根管治療は、
目に見えない歯の内部の治療です。
再発の原因の一つに、
未処置根管の存在(MB2など)があります。
当院では、
✔ マイクロスコープ下での治療
✔ CTによる三次元診断
✔ 治療動画による可視化説明
✔ 1日4〜5名までの治療制限
を行っています。
「歯を残したい」と本気で考えている方に、
必要な治療をご提案しています。
■ 費用について
本症例で行った精密根管治療は、自費診療となります。
上顎大臼歯の精密根管治療 132,000円(税込)
ファイバーコア 33,000円 (税込)
※症例により費用は異なります。
※被せ物の費用は別途必要です。
■ 治療に伴う注意事項(リスク・副作用)
根管治療には以下の可能性があります。
-
術後に一時的な痛みや違和感が出ることがあります
-
歯質の残存量が少ない場合は、将来的に破折する可能性があります
-
症例によっては外科的歯内療法や抜歯が必要になることがあります
本症例は一例であり、すべての症例で同様の経過を示すものではありません。
